Call Now Book Now
Online Booking

Autumn special offer CHECK - UPS With Our Associate dentist, Down from £98 to £55. Small X-rays are included if needed.

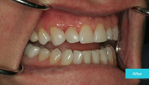
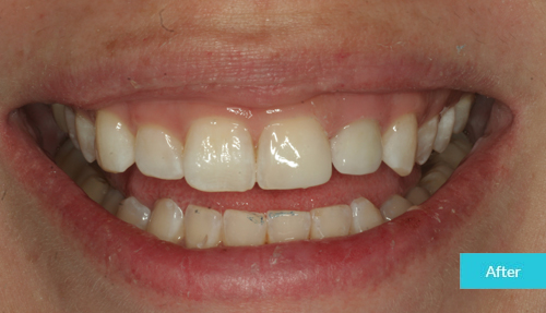
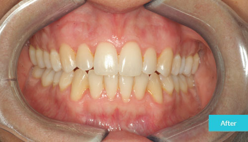
Smile Gallery

Smile Gallery

Smile Gallery

Amazing case of invisalign to close the spaces between teeth and final whitening and bonding to disguise the canine teeth as incisors. The patient was delighted with the results

Amazing case of invisalign
Amazing case of invisalign

invisalign Lite and whitening case, aligned front teeth and widened smile, beautiful and natural result

invisalign Lite and whitening case
invisalign Lite and whitening case
invisalign Lite and whitening case
invisalign Lite and whitening case

veneers Case

Veneers Case 1
Veneers Case 2

Invisalign Case Before After

Invisalign 1 Before Invisalign 1 After
Invisalign 1 Before Invisalign 1 After

Invisalign Whitening And Bonding Case Before After

Invisalign 1 Before Invisalign 1 After

Invisalign For Open Bite Case Before After

Invisalign For Open Bite Case 1 Before Invisalign For Open Bite Case 1 After
Invisalign For Open Bite Case 2 Before Invisalign For Open Bite Case 2 After

Dental Bridge To Replace A Gap Before After

Dental bridge to replace a gap Before Dental bridge to replace a gap After

Michigan Splint

Michigan Splint
Invisalign Before Invisalign After
Invisalign Before 1 Invisalign After 1
Invisalign Before 2 Invisalign After 2
Invisalign Before 3 Invisalign After 3

Before and after Invisalign lite with teeth whitening and bonding

Invisalign Before Invisalign After
Invisalign Before Invisalign After
Invisalign lite Before Invisalign lite After
Invisalign lite Before 1 Invisalign lite After 1

TMJ Treatment Before After

TMJ Before TMJ After

Bonding Before After

Bonding Before 3 Bonding After 3

New Hand-made veneers to replace old discoloured veneers

Veneers 1 Befor Veneers 1 After

Invisalign Case

Invisalign Before Invisalign After

Full upper set of bonding reshaping the smile and face. extremely happy patient

Bonding Before 3 Bonding After 3
Bonding After 3

Single appointment white spot treatment. ICON therapy - no drilling needed.

white spot treatment. ICON therapy before invisalign white spot treatment. ICON therapy after

Invisalign Case

gap teeth before invisalign gap teeth fixed with invisalign after
gap teeth before invisalign gap teeth fixed with invisalign after

Immediate effect of ICON infiltration on a white spot. No drilling necessary

White spot Before White spot After

Bonding Case

Bonding Before 3 Bonding After 3
Bonding Before 4 Bonding After 4
Composite Bonding Case before 1 Composite Bonding Case after 1

Invisalign Full Case

Full Invisalign Before Full Invisalign After
Full Invisalign Before 2 Full Invisalign After 2

Invisalign Case

Invisalign Before 11 Invisalign After 11
Invisalign Before 12 Invisalign After 12
Invisalign Before 9 Invisalign After 10
Invisalign Before 10 Invisalign After 10

Bonding Before After

Bonding Before Bonding After
Bonding Before 2 Bonding after 2

Invisalign Case

Invisalign Before 6 Invisalign After 6
Invisalign Before 6 Invisalign After 6

Bonding for Smaller Teeth and to Close Gaps

Teeth Bonding Before 1 Teeth Bonding After 2
Teeth Bonding Before 2 Teeth Bonding After 2

Reconstruction of Worn Teeth with Crowns and Dental Bonding

Teeth Reconstruction Before 1 Teeth Reconstruction After 1
Teeth Reconstruction Before 2 Teeth Reconstruction After 2

Improved Smile with Invisalign, Dental Bonding, Dental Contouring and Crowns

Smile Improvement Before 1 Smile Improvement After 1
Smile Improvement Before 2 Smile Improvement After 2

Treatment: Invisalign Lite, Teeth Whitening and Dental Bonding

Invisalign Lite, Teeth Whitening and Dental Bonding Before 1 Invisalign Lite, Teeth Whitening and Dental Bonding After 1
Invisalign Lite, Teeth Whitening and Dental Bonding Before 2 Invisalign Lite, Teeth Whitening and Dental Bonding After 2

New Single Crown

Single Dental Crown Before 1 Single Dental Crown After 1

Invisalign Lite

Invisalign Lite - Before Invisalign Lite - after

Invisalign and Contouring

Invisalign and Contouring before 1 Invisalign and Contouring after 1
Invisalign and Contouring before 2 Invisalign and Contouring after 2

Invisalign and Bonding

Invisalign and Bonding before 5 Invisalign and Bonding after 5
Invisalign and Bonding before 1 Invisalign and Bonding after 1
Invisalign and Bonding before 2 Invisalign and Bonding after 2
Invisalign and Bonding before 2 Invisalign and Bonding after 2
Composite Bonding Case before 3 Composite Bonding Case after 3

Invisalign and Teeth Whitening

invisalign and teeth whitening before invisalign and teeth whitening after

Invisalign Before and After

Invisalign Before 7 Invisalign After 7
Invisalign Before 8 Invisalign After 8
Invisalign before 3 Invisalign after 3
Invisalign Contouring Before 1 Invisalign Contouring After 1
Invisalign Before Invisalign After
Invisalign before 4 Invisalign after 4
Invisalign before 5 Invisalign after 5

Invisalign, Teeth Whitening and Dental Bonding

Teeth whitening & bonding before 2 Teeth whitening & bonding after 2

This patient was unhappy with her dark and crooked front tooth. We carried out root canal work, a special whitening process, invisalign and composite bonding to achieve this stunning result.

Case 1 Befor Case 1 After
Case 2 Befor Case 2 After

This patient was unhappy with her overbite and her crowded lower teeth. We improved her smile with invisalign and cosmetic tooth contouring.

Case 3 Befor Case 3 After
Case 4 Befor Case 4 After

Composite Bonding Case 1

Teeth whitening & bonding before 2 Teeth whitening & bonding after 2
Teeth whitening & bonding before 1 Teeth whitening & bonding after 1
>Dental Bonding to Close a Gap before >Dental Bonding to Close a Gap After
Case 10 Befor Case 10 After
Case 11 Befor Case 11 After
Case 12 Befor Case 12 After
Case 13 Befor Case 13 After
Case 18 Befor Case 18 After

Dental Bridges Case

Case 14 Befor Case 14 After

Dental Crowns Case

Case 15 Befor Case 15 After

Invisalign Case

Case 16 Befor Case 16 After
Case 17 Befor Case 17 After

Invisalign lite to straighten the teeth followed by whitening and composite edge bonding, lovely straight and white teeth

Case 9 Befor Case 9 After

Invisalign lite for 7 months followed by icon infiltration to treat the white spots, tooth whitening and composite edge bonding to give the upper teeth a beautiful shape

Case 5 Befor Case 5 After

Internal and external whitening of the dark teeth which were root filled followed by new fillings. This took 6 weeks of whitening using low concentration gel and the result made the patient very happy

Case 6 Befor Case 6 After

Composite edge bonding of worn down front teeth after alignment with braces.

Case 6 Befor Case 6 After

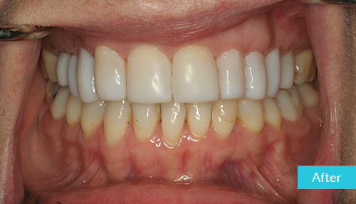
Full Mouth Reconstruction involving first whitening and then crowns, bridge and veneers, on the upper front teeth, ceramic crowns on the upper and lower back teeth and composite bonding on lower teeth. the patient was over the moon, she was able to smile and eat with confidence

upper veneers to better shape and alignment of teeth Befor upper veneers to better shape and alignment of teeth After
Case 8 Befor Case 8 After
Case 9 Befor Case 9 After
Case 10 Befor Case 10 After
Invisalign london before nvisalign london After
invisalign before 1 invisalign after 1
invisalign before 2 invisalign after 2

Teeth Whitening Before After

invisalign before 2 invisalign after 2
QUICK CONTACT

Contact Us

offer_banner
Opeing Hours
Monday 9 AM - 6 PM
Tuesday 9 AM - 6 PM
Wednesday 9 AM - 6 PM
Thursday 8.30 AM - 7 PM
Friday 9 AM - 5 PM
Saturday 10 AM - 2 PM
Sunday Closed