Call Now Book Now
Online Booking

Autumn special offer CHECK - UPS With Our Associate dentist, Down from £98 to £55. Small X-rays are included if needed.

Invisalign

Cutting edge, Expert, Aesthetics, Bite balanced alignment,

Top provider from Euston to Thames:

Invisalign recognises Museum Dental Suites for most cases in West Central London.

invisalign banner

Invisalign in London The discrete choice to straighten your teeth!

We are among the leading Invisalign providers in London. We have already successfully straightened smiles of over 500 patients. Due to this reason, we have earned the prestigious Platinum Elite Invisalign Provider status.

If you have crowded, gapped on misaligned teeth, we can solve the orthodontic problems by straightening your teeth with removal and virtually invisible clear braces.

We're currently offering up to £1000 off on every Invisalign treatments to help you achieve straighter smile at an affordable cost.

Whether you're in London or anywhere in the UK, we're here to help you! Contact us today and take the first step towards your teeth straightening!

What is Invisalign treatment?

Invisalign treatment is a modern orthodontic solution where you wear a series of clear, removable aligners. These aligners gently and gradually shift your teeth into their desired positions. Unlike traditional braces, there are no brackets or wires involved, which means you can enjoy the freedom from the usual restrictions that come with metal braces.

Is Invisalign Right for You?

Click here to book a personalised consultation for free and discover whether Invisalign fits your smile goals!

How do Invisalign® aligners work

Invisalign generally works with the help of a series of clear aligners around the teeth. You will have to wear each aligner for 7 to 14 days before shifting onto the next aligner in the series. The dentist discusses with you about the progression of the treatment. The planned procedure moves the teeth till they attain their desired position. We will keep a close eye on the treatment progress and ensure everything is going in the right way.

Make sure you wear Invisalign aligners for at least 20 to 22 hours daily for attaining the best possible results. You can take out the braces when eating, drinking brushing and flossing. So, you will be able to enjoy eating your favourite foods during the treatment process.

Invisalign Treatments We Offer

Invisalign Full

Ideal for complex cases requiring teeth realignment. Treatment duration is 6-12 months, with more intricate cases taking 24-36 months.

Read More

Invisalign i7

Targets minor tooth issues quickly, focusing on a few teeth. Treatment typically lasts 3-5 months for swift results.

Read More

Invisalign Lite

Best for minor adjustments, using fewer aligners. Treatment duration is approximately 6-8 months for achieving desired results.

Read More

Treat Various Dental Issues with Invisalign

Cosmetically Driven Functional Bite Alignment with Invisalign®

Expertly Led by Dr Wahab Shakir

If you are searching for “Invisalign to fix my bite,” Museum Dental Suites offers a distinctive approach, led by Dr Wahab Shakir. Dr Shakir is recognised for his expertise in micro alignment and Functional Bite Alignment, and regularly lectures across the UK on these advanced protocols.

What Is Functional Bite Alignment?

Our Functional Bite Alignment protocol with Invisalign® is designed to address not only the appearance of your teeth, but also the way your bite functions. This approach considers dental, postural, anatomical, facial, and cosmetic factors to provide a comprehensive evaluation and planning process.

Key Advantages of the Functional Bite Alignment Protocol

Advantages of Invisalign Braces Thumbnail
  • Comprehensive Assessment: Each treatment plan begins with a thorough evaluation using 3D imaging and detailed analysis of dental, facial, and postural landmarks. This allows for a more precise understanding of your unique needs.

  • Micro Alignment Precision: The protocol emphasises fine-tuned adjustments to the bite, aiming for a balanced and harmonious result that supports both function and aesthetics.

  • Functional Focus: By considering how your bite interacts with your jaw, muscles, and facial structure, this approach seeks to address functional concerns that may contribute to discomfort or long-term dental issues.

  • Individualised Planning: Every plan is tailored to the individual, taking into account not just the teeth, but the overall anatomy and lifestyle of the patient.

  • Long-Term Oral Health: The protocol is designed with the aim of supporting stable, functional results that can contribute to long-term oral health and comfort.

Who Might Benefit?

  • Individuals with bite-related concerns such as overbite, crossbite, open bite, or deep bite.
  • Patients seeking improvement in both function and aesthetics.
  • Those interested in a tailored, expert-led approach to Invisalign® treatment.
Guide to Speed Up Invisalign Process

About Dr Wahab Shakir

Dr Wahab Shakir is a leading clinician in bite alignment and Invisalign® therapy. He is committed to evidence-based practice and ongoing education, regularly lecturing nationally on the integration of dental, postural, and facial analysis in orthodontic care.

Book a Consultation

If you are considering Invisalign® for bite-related concerns and wish to explore a comprehensive, expert-led approach, you are welcome to arrange a consultation with Dr Wahab Shakir at Museum Dental Suites. During your consultation, you will receive a personalised assessment and advice tailored to your individual needs.

“A well-balanced bite is important for both function and comfort. My approach is centred on careful assessment and planning, with the aim of supporting your long-term oral health.”
– Dr Wahab Shakir

Disclaimer:

Treatment suitability and outcomes vary for each individual. All assessments and recommendations are made in accordance with current best practices and regulatory guidelines. No guarantees of specific results are made or implied.

What Sets Dr Wahab Shakir’s Approach Apart in Addressing Bite Issues in the UK

Dr Wahab Shakir’s Functional Bite Alignment protocol is distinguished by its comprehensive, technology-driven, and evidence-based methodology-delivering a level of assessment and care rarely found elsewhere in the UK.

Step-by-Step Advanced Protocol

01

In-Depth History and Functional Assessment

Every patient begins with a thorough life and dental history, including analysis of jaw function habits, current bite position, and TMJ (temporomandibular joint) health. This holistic approach uncovers not only dental but also postural or lifestyle factors that may influence bite issues.

02

Cosmetic and Anatomical Imaging

High-resolution facial photography facial scans and cosmetic evaluation are used to assess facial symmetry and aesthetics, ensuring that both function and appearance are considered from the outset.

03

Digital Jaw Mapping and Bite Position Imaging

Digital bite registration techniques, including intraoral scanning and jaw mapping, are used to capture precise tooth contacts and jaw relationships. This digital workflow allows for superior accuracy and efficiency compared to traditional methods, reducing treatment time and improving diagnostic reliability.

04

Functional Motion Analysis

Dr Shakir evaluates bite motion during chewing and speaking, and considers any related medical or work issues that may impact jaw function. This dynamic assessment helps identify issues that static images alone might miss.

05

T-Scan Bite Pressure Analysis

The T-Scan system is employed to digitally analyse bite forces and timing, mapping pressure distribution across every tooth. This technology provides multi-dimensional, animated images, allowing for the identification of imbalances that could lead to pain, tooth wear, or TMJ disorders.

06

Tooth Wear, Facial Scans, and Photography

Detailed records of existing tooth wear, combined with 3D facial scans and high-quality photography, enable a comprehensive understanding of how the bite impacts both oral health and facial aesthetics.

07

Advanced X-rays and 3D CBCT Scans

Low-dose 3D CBCT (cone-beam computed tomography) scans provide a complete, distortion-free view of teeth, roots, jaw joints, and airways. This advanced imaging is invaluable for detecting underlying skeletal, dental, or airway issues that could affect bite and overall oral health.

08

Accurate Bite Position Recording and Gradual Refinement

Precise digital bite registration ensures the most accurate starting point for treatment. Dr Shakir uses a gradual, staged approach, often incorporating additional refinement aligners to allow the bite and TMJ system to adapt and settle into a healthy position.

09

Ongoing Reassessment and Custom Planning

Throughout treatment, Dr Shakir continually reassesses the bite using the latest technology, making adjustments as needed. Each plan is custom-designed, tooth-by-tooth, and followed meticulously until a balanced, functional, and aesthetic result is achieved

Technology/Method Purpose & Benefit
Detailed medical/dental history Identifies contributing factors and personalises treatment
High-resolution facial photography Evaluates facial symmetry, cosmetic needs, and anatomical landmarks
Digital jaw mapping & registration Captures precise bite relationships; superior to traditional methods for accuracy and efficiency
T-Scan bite pressure analysis Measures bite force and timing in real-time for targeted adjustments
3D CBCT imaging Provides comprehensive, distortion-free views of teeth, jaws, and airways for precise diagnosis
Functional motion analysis Assesses bite during chewing, speaking, and daily activities
Tooth wear and facial scans Tracks wear patterns and facial changes for holistic planning
Gradual refinement with aligners Allows bite and TMJ to adapt naturally, improving long-term outcomes
Ongoing digital reassessment Ensures continual optimisation and customisation throughout treatment
See Your Future Smile with Invisalign

See Your Future Smile

Visualise how your teeth will look after Invisalign treatment.

Smile Assessment
Your Ideal Invisalign

Your Ideal Invisalign

Find out which Invisalign treatment suits you best.

Book A Free Consultation

**Note: The smile preview is computer-generated, so the actual results may vary. At your initial free consultation, we use a 3D digital scanner to demonstrate the complete smile transformation possible with Invisalign treatment.

Invisalign CTA Background

Say Goodbye to your misaligned teeth!

Step into a world of advanced orthodontic treatment with Invisalign, where comfort meets effectiveness, ensuring you achieve the beautiful and straight smile you've always desired.

The Benefits of Invisalign Aligners

Advantages of Invisalign Braces Thumbnail
  • Discreet appearance

    Comfortable fit

    Removable for eating and cleaning

    No food restrictions

    Fewer dental visits

    Effective for various dental issues

    Predictable results with 3D imaging technology

Invisalign Treatment Procedure Thumbnail

Invisalign Treatment Procedure – Step by Step

  • Day
    1

    Wear Your First Set of Aligners

    Obtaining the first set of customised aligners is significant. This means you have just started the treatment and the teeth will begin to straighten immediately.

  • Week
    1

    Settle into an Easy Routine

    After two or three days, you need to settle to your oral health routine. It includes taking out your braces when brushing teeth, eating and clipping them back in.

  • Day
    7

    Change the Set of Aligners

    Around day 7 you need to change your braces for the first time. It is important to brush teeth, wear new aligners and you will already be two weeks closer to having beautiful and straighter teeth.

  • A Few
    Months

    Halfway through the treatment

    You will find your teeth are becoming straighter after a few weeks. Now, you can find the difference when your teeth move towards their desired position.

  • End of the
    Treatment

    Treatment done

    It is already time to say no to those clear aligners and start enjoying your straighter smile. For most people, this moment comes within a few months of starting with the treatment process.

Finishing protocols

We align not only the teeth but strive to align and improve function to your bite. Helping reduce pressure on your teeth and Jaw joints.

We regularly use Bite scanners and teeth scanners such as Tek-Scan and Itero to make sure the bite is correct.

This is not a simple process and only very experienced Invisalign Providers can offer this level of treatment.

The Guide to Speed Up Invisalign Process

You can speed up your Invisalign treatment by sticking to your orthodontist's guidelines. These tips will reduce the treatment time and include:

  • Maintain oral health post-treatment
  • Wear aligners 20-22 hours daily
  • Clean aligners regularly
  • Avoid sugary and acidic foods
  • Use Invisalign attachments as advised
  • Regularly consult your orthodontist
Guide to Speed Up Invisalign Process

We’re the Platinum Elite Invisalign® Provider 2024

Provider of Invisalign
Invisalign CTA Background

Say Goodbye to your misaligned teeth!

Step into a world of advanced orthodontic treatment with Invisalign, where comfort meets effectiveness, ensuring you achieve the beautiful and straight smile you've always desired.

Cost of Invisalign Treatment in London

The treatment for Invisalign starts from £1950 to almost £4450. Invisalign cost in London will depend on the problems to treat and the length of time required for your teeth straightening and other orthodontic concerns.

Invisalign® i7 £1950*

  • Records: X-rays, photos, and 3D scan required
  • 3D Virtual treatment (Clincheck)
  • Up to 7 aligners over 14 weeks of treatment
  • Refinements: £400 each
  • Essix retainers included, Vivera retainers cost £650
  • Fixed wire retainers for upper and lower teeth are £200

Invisalign® Lite £2850*

  • Records: 3D scan, X-rays, and photos required
  • 3D Virtual treatment (Clincheck)
  • 14 aligners over 20-28 weeks of treatment
  • One free refinement included, additional refinements £400 each
  • 3 sets of removable Vivera retainers for upper and lower teeth
  • Fixed wire retainers for upper and lower teeth are £200

Invisalign® Full £3850*

  • Records: Photos, X-rays, and 3D scan required
  • 3D Virtual treatment (Clincheck)
  • Approximately 25 aligners
  • One free refinement included, additional refinements £400 each
  • 3 sets of removable Vivera retainers for upper and lower teeth
  • Fixed wire retainers for upper and lower teeth are £200

Invisalign® for Complex Cases £4450*

  • Records: Photos, X-rays, and 3D scan required
  • Addresses complicated dental and bite problems
  • 3D Virtual treatment (Clincheck)
  • Over 30 aligners, treatment lasts 11 to 18 months
  • Two refinements included, additional aligners £400 each
  • 3 sets of removable Vivera retainers for upper and lower teeth
  • Fixed wire retainers for upper and lower teeth are £200

**Our prices feature the introductory offer of £1000 as part of the package.

Invisalign CTA Background

Transform Your Smile Today!

Take advantage of our special discount offer!

Flexible Finance Options Available at Our Clinic

0% finance over 12 months

If the patients want to pay monthly, we offer 0% interest-free for 12 months with Tabeo, where patients apply for the finance and they send them the link to confirm. when we receive the confirmation you can start your treatment.

Pay in 3 instalments

A non-refundable £650 payment will be made at your first appointment at the same time that we take impressions for your aligners. When the clinic is receiving another payment of half the remaining balance will be made with the third and final payment when the aligners are fitted.

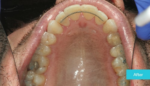
Smile Gallery

Invisalign Before After Results

Invisalign Case Before After

Invisalign 1 Before Invisalign 1 After
Invisalign 1 Before Invisalign 1 After

Invisalign For Open Bite Case Before After

Invisalign For Open Bite Case 1 Before Invisalign For Open Bite Case 1 After
Invisalign For Open Bite Case 2 Before Invisalign For Open Bite Case 2 After

Invisalign Whitening And Bonding Case Before After

Invisalign 1 Before Invisalign 1 After

Before and after Invisalign lite with teeth whitening and bonding

Invisalign Before Invisalign After
Invisalign Before Invisalign After
Invisalign lite Before Invisalign lite After
Invisalign lite Before 1 Invisalign lite After 1
Invisalign Before Invisalign After
Invisalign Before 1 Invisalign After 1
Invisalign Before 2 Invisalign After 2
Invisalign Before 3 Invisalign After 3

Invisalign Case

gap teeth before invisalign gap teeth fixed with invisalign after
gap teeth before invisalign gap teeth fixed with invisalign after

Invisalign Case

Invisalign Before 8 Invisalign After 8
Invisalign Before 9 Invisalign After 9

FAQs on Invisalign Braces

People often ask me about how well Invisalign works, and the answer is actually pretty darn good! Most of the time, it does its job really well, with a success rate of around 96%. That means only about 4% of cases end up not turning out as expected, or 1 out of every 25 people. So when you're thinking about giving it a go, you can feel pretty confident that it'll help straighten your teeth!

Worried about pain? Don't be. Invisalign isn’t usually painful, though you might experience some mild discomfort at the beginning. It feels like a gentle, constant pressure on your teeth, which is actually a sign that the aligners are doing their job and moving your teeth as they should.

The duration of your Invisalign treatment can vary depending on your specific needs. On average, it takes about 12 to 18 months to straighten your teeth.

The treatment time is 12 to 18 months, on average but might vary from one person to the other. During the initial consultation, your dentist will suggest the right kind of aligners for you and the time needed for the entire procedure.

You may have a slight lisp initially, but that problem will be solved on its own within the first few days. There’s nothing to worry about in this context.

You need to wear your aligners for at least 20 to 22 hours a day to ensure desired results. You just slip off the aligners from the teeth during a meal or while brushing and flossing. You can even go to sleep at night with the aligners on.

If you lose an aligner, please contact us immediately. Our expert will provide a stopgap solution to prevent your teeth moving out of line. Considering your condition, our dentist may also suggest you move straight to the next aligner set.

Yes, you will have to wear the retainers to ensure your teeth don’t move back to their initial position once you stop wearing the Invisalign aligners. Our expert will provide you with removable retainers right after your Invisalign treatment.

Usually, the patients need to wear the braces for a certain period. You need to wear your retainer 12 to 22 hours during the first 3 to 6 months after the treatment is done. At night time, you need to wear for the next 6 to 12 months and beyond and 3 to 5 times each week after one year and ahead.

Invisalign is worth it when it is performed correctly. These braces usually work best for who suffer from mild-to-moderate orthodontic problems.