Call Now Book Now
Online Booking

Autumn special offer CHECK - UPS With Our Associate dentist, Down from £98 to £55. Small X-rays are included if needed.

Overbite Overbite

Looking to treat
your Overbite with Invisalign

Looking to treat your
Overbite with Invisalign

Overbites

An overbite, also called a deep bite or malocclusion, is a dental issue where your upper front teeth seem to overlap significantly with lower front teeth on closing the jaws. This teeth misalignment may differ in severity and can have both aesthetic as well as functional implications. It is important to know the causes, consequences, and available treatment options for overbites to maintain better oral health.

Never Neglect Your Overbite

Get in Touch with us Now!

Causes

Various factors lead to the development of overbite. These include the following:

  • Growth patterns: some peoples jaws and dental bones grow in a different way causing the lower teeth to bite deeply behind the uppers
  • Use of pacifier or thumb-sucking: Prolonged thumb-sucking or using pacifier during childhood pushes the upper front teeth forward, leading to an overbite.
  • Dental Habits: Prolonged bottles or sippy cups use during early childhood can cause an overbite.
  • Genetics: Genetic factors have an important role in developing various oral misalignments like overbites.
  • Skeletal Abnormalities: Irregularities in the jaw size or shape may be the reason for an overbite.

Symptoms

Common symptoms include the following:

  • Upper front teeth may overlap the lower front teeth.
  • Difficulty at the time of biting or chewing certain foods.
  • Increased risk of dental wear and tear for the misalignment.
  • Self-esteem concerns for smile appearance.

Diagnosis

The dentist diagnoses an overbite with a comprehensive examination which include the following:

  • X-rays or dental scans to evaluate jaw and tooth positioning.
  • Visual inspection of your bite and teeth.
  • Dental impressions to create models for detailed analysis.

Treatment for overbites

Identifying an overbite is necessary for both cosmetic and functional reasons. The treatment options will depend based on the severity of the overbite and may include:

  • Orthodontic Treatment: Braces can be used to correct overbites by gradually shifting teeth to their desired position.
  • Orthognathic Surgery: Surgical intervention is needed for your jaw repositioning in extreme cases.
  • Dental Appliances: Orthodontic devices, such as bite correctors, are used to address specific concerns of overbite.
  • Rubber Bands: Elastic bands attached to the braces may correct the alignment of the teeth and jaws.

Complications

Neglecting an overbite can may cause various complications which include the following:

  • Increased risk of dental wear and tear due to misalignment.
  • Temporomandibular joint (TMJ) disorders, causing headaches and jaw pain.
  • Reduced self-confidence and self-esteem due to smile appearance.
  • Speech difficulties.

Prevention

Though genetics play a crucial role in forming an overbite, early intervention and preventive measures might be of some help:

  • Detect dental misalignments and concerns promptly.
  • Routine dental check-ups for early detection and intervention.
  • Encourage children to stop using a pacifier or thumb-sucking.
  • Promote good dental hygiene habits.

You need to consult with a dentist to know about the most suitable treatment plan for your case.

Never Allow an Overbite Affect Your Smile

Book for a Consultation Session with us!

Smile Gallery

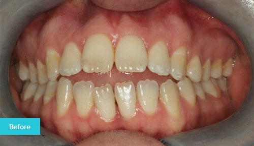
Case 12 Befor Case 12 After
Case 13 Befor Case 13 After
Case 10 Befor Case 10 After
Case 11 Befor Case 11 After
QUICK CONTACT

Contact Us

offer_banner
Opeing Hours
Monday 9 AM - 6 PM
Tuesday 9 AM - 6 PM
Wednesday 9 AM - 6 PM
Thursday 8.30 AM - 7 PM
Friday 9 AM - 5 PM
Saturday 10 AM - 2 PM
Sunday Closed