Autumn special offer CHECK - UPS With Our Associate dentist, Down from £98 to £55. Small X-rays are included if needed.
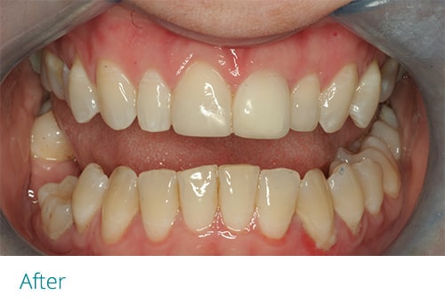
If you are seeking a cosmetic dentist in London for a smile transformation, then we are here to assist you. At Museum Dental Suites, we collaborate with an experienced team of cosmetic dentists in London who can offer a comprehensive range of cosmetic dentistry treatments to address various oral concerns. These may include stains, discolorations, or issues with damaged or missing teeth. These treatments are designed to enhance your appearance, improve your self-esteem, and boost your overall confidence.
Our cosmetic dentistry services are meticulously crafted to enhance the aesthetics of your smile. Embark on your journey with us towards achieving the perfect smile today!
Here are some advantages of opting for cosmetic dentistry procedures:
An effective solution for replacing multiple missing teeth, providing a full arch with the support of either four or six implants.
A cosmetic technique used to enhance and repair the appearance of teeth using tooth-colored composite resin.
Customised false teeth designed to bridge gaps between missing teeth, anchored securely to neighboring teeth or implants.
Protective caps placed over decayed or damaged teeth to restore their size, shape, and strength.
A permanent solution for missing teeth involving the placement of a titanium post into the jawbone.
Temporary and rapid denture solutions provided in urgent situations to replace missing teeth.
Thin shells affixed to the front surfaces of teeth, enhancing their color, alignment, and shape.
A treatment for decayed or infected teeth that involves the removal of the pulp and damaged nerve.
A professional bleaching method to lighten and remove stains from teeth, enhancing their brightness.
Tooth-colored fillings used to restore teeth affected by cracks, decay, or fractures.
Our team consists of highly skilled professionals with extensive experience in the field of cosmetic dentistry.
We utilise the latest dental techniques and technologies to ensure comfortable and effective treatments.
Our primary focus is on providing individualised treatment plans tailored to the unique needs and preferences of each patient.
We offer a wide range of cosmetic dental procedures to address various oral concerns.
Our commitment is to deliver top-notch dental care while ensuring patient satisfaction.
When it comes to cosmetic dentistry, there is a wide range of available treatments. The cost of our treatments will vary depending on the type of treatment you require. However, at Museum Dental Suites, we make an effort to maintain transparency regarding our costs for cosmetic dentistry treatment options.
You can find detailed information about our fees here, and we also provide a variety of affordable financing options to accommodate your specific situation. Rest assured, we are dedicated to helping you achieve your dream smile and a confident appearance with us.
Embrace transformation through our cosmetic dentistry services. Get in touch with us to explore various options available to you!
A cosmetic dentist is a qualified dental professional who specialises in treatments designed to enhance the visual appearance of your teeth. These dentists offer suitable solutions to correct issues related to the positioning, size, shape, and discoloration of teeth. At Museum Dental Suites, our primary focus is on providing various types of cosmetic dental treatments, with the goal of giving you a natural-looking and attractive smile.
Museum Dental Suites specialises in general, cosmetic, and orthodontic dentistry. We offer an extensive range of aesthetic dental procedures, including teeth whitening, dental implants, bridges, veneers, cosmetic bonding, crowns, and smile makeovers. Our dental clinic caters to a diverse clientele, including celebrities, and is committed to enhancing the smiles of all our patients. We provide general dental care and ensure comprehensive oral health services.
The longevity of cosmetic dental treatments varies depending on the specific treatment and your dental health. Tooth and gum reshaping is a permanent solution, while dental veneers are designed to last for approximately 20 years. Over time, changes in your gum tissue may occur, and veneers may chip like natural teeth, though the materials can be easily replaced. Tooth whitening results typically last for about 10 years, and veneers maintain their color consistency.

