Call Now Book Now
Online Booking

Autumn special offer CHECK - UPS With Our Associate dentist, Down from £98 to £55. Small X-rays are included if needed.

Gaps Between Your Teeth

Gaps Between Your Teeth

Gaps in Teeth

Gapped teeth, also called diastema, is a dental problem which gets characterized due to noticeable gaps or spaces in between two or more teeth. Some people believe gapped teeth as a unique feature, others might undergo the treatment due to cosmetic reasons or deal with related dental concerns. It is important to know about the causes, possible concerns, and treatment options for your gapped teeth. This can help to make well-informed decision about your dental health.

Deal with Your Gapped Teeth Today

Contact us for Expert Advice!

Causes

Gapped teeth might take place due to several factors. It is important to know these are potential causes and presence of one or more won’t guarantee developing gapped teeth.

  • Tooth Size and Jaw Discrepancy: Diastema can occur when there is a mismatch in the size of the jaw relative to the teeth. This can result in extra space, leading to gaps.
  • Tongue Thrusting: Habitual tongue thrusting involves the tongue pressing against the front teeth frequently, typically during swallowing or speaking. This repeated action can play a role in the gradual development of diastema.
  • Thumb-Sucking or Pacifier Use in Childhood: Prolonged habits such as thumb-sucking or extensive pacifier use during childhood can exert forward pressure on the front teeth, potentially leading to the formation of gaps.
  • Gum Disease: Advanced periodontal disease can lead to gum recession and weakening of the support structures of the teeth. This deterioration can result in the creation of spaces between the teeth.
  • Genetics: A significant factor in the development of diastema is genetic predisposition. It's common for the trait of gapped teeth, particularly between the front teeth, to be inherited within families.

Symptoms

Common symptoms with gapped teeth include:

  • Difficulty in biting or chewing certain foods.
  • Visible gaps or spaces in between the teeth, prominent between your front two teeth.
  • Increased risk of food particles getting trapped between teeth causing
  • Self-esteem concerns due to smile appearance.
  • Increased risk of gum problems and tooth decay.

Diagnosis

The dentist diagnoses your gapped teeth through a comprehensive examination which include the following:

  • Visual inspection of your teeth and bite.
  • X-rays or dental scans to assess the positioning of tooth and jaw.
  • Dental impressions to create models for further analysis.
Museum Dental Suites, offer's complete cosmetic and general dentistry in Central London
Museum Dental Suites, offer's complete cosmetic and general dentistry in Central London

Treatment Options

The appropriate treatment for gapped teeth, or diastema, varies depending on the cause and severity of the condition. It's important to consult with a dental professional to determine the most suitable treatment plan for your individual case. Here are some common treatment options:

  • Dental Bonding: For smaller gaps, a tooth-colored resin may be applied to the teeth. This process, known as dental bonding, can fill the spaces and improve the overall appearance of the teeth. Bonding is a relatively simple procedure but may not be suitable for all cases.
  • Retainers: After orthodontic treatment, wearing a retainer is crucial to maintain the new alignment of the teeth and prevent gaps from reappearing. Retainers must be used as directed by your dental professional.
  • Veneers: Porcelain veneers are thin and customised shells for covering the front surface of your teeth. They can be used to close gaps and enhance the aesthetics of your smile. Veneers are a more permanent solution but require the removal of a small amount of tooth enamel.
  • Dental Bridges or Implants: If gaps are due to missing teeth, dental implants or bridges can be used to replace these teeth. Implants provide a durable, long-term solution, while bridges can also effectively close spaces and restore functionality.
  • Orthodontic Treatment: Orthodontic appliances, such as invisalign clear aligners, can be effective in gradually shifting teeth into the correct position, thereby closing unwanted gaps. The duration and effectiveness of this treatment depend on the individual's specific dental alignment and gap size.

Complications

While gapped teeth, or diastema, might not cause health problems, it is essential to know about possible concerns that might arise when neglected:

  • Increased risk of gum problems and dental decay due to difficulty in cleaning between the spaced teeth.
  • Difficulty in speech.
  • Lessen self-confidence due to smile appearance
  • Potential concerns for neglecting gapped teeth

Prevention

Though genetics has a crucial role in gapped teeth, early intervention and preventive measures are the ultimate key in addressing this condition:

  • Maintain good dental hygiene habits.  
  • Address oral habits like thumb-sucking during childhood.
  • Routine check-ups for early detection and thorough intervention.

See a dentist to know the most suitable treatment plan for your gapped teeth.

Say Goodbye to Your Gapped Teeth

Book a Consultation with Us Now!

Smile Gallery

invisalign before 2 invisalign after 2
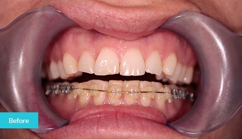
Case 16 Befor Case 16 After
Invisalign london before nvisalign london After
invisalign before 1 invisalign after 1
QUICK CONTACT

Contact Us

offer_banner
Opeing Hours
Monday 9 AM - 6 PM
Tuesday 9 AM - 6 PM
Wednesday 9 AM - 6 PM
Thursday 8.30 AM - 7 PM
Friday 9 AM - 5 PM
Saturday 10 AM - 2 PM
Sunday Closed