Call Now Book Now
Online Booking

Autumn special offer CHECK - UPS With Our Associate dentist, Down from £98 to £55. Small X-rays are included if needed.

Six Month Smiles

Six Month Smiles

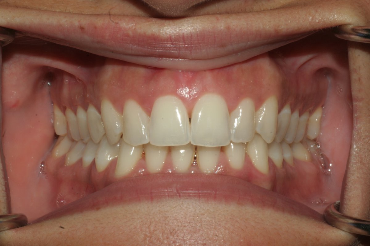
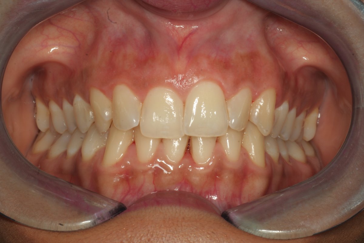
Six Month Smiles in London - Short Term Orthodontic Treatment

Get a Beautiful Smile in Just 6 Months!

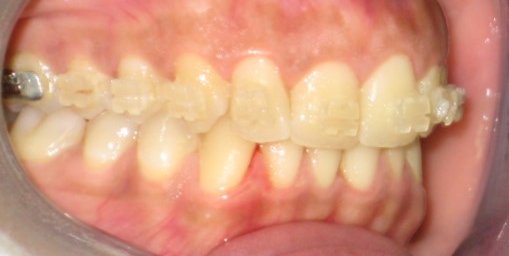
Six month smiles braces (Short-term orthodontic braces) are the method for transforming your smile within the time span of 6 months. These braces can deal with common dental problems in half of the time of comprehensive orthodontic treatments by focusing on your front teeth only.

Usually these braces are not invisible; it is also very discreet and clear as brackets are connected by means of a tooth-coloured wire. This ‘memory shape’ wire shifts the teeth gently into their new position thus, giving you a straighter and more confident smile.

What is the six month smiles braces treatment procedure?

This treatment can be done with the help of these steps:

  • X-rays and photographs are taken to identify your oral conditions.
  • Your teeth impressions will be taken and then sent to the laboratory for the preparation of your customised braces.
  • Custom-made braces are fixed on the teeth with the support of an arch wire.
  • A routine check-up is needed every four weeks to check the position of the wires.

Advantages of six month smiles braces:

  • A quick method for teeth straightening:

    The six month smiles braces provides perfectly aligned teeth within a short amount of time when compared to the traditional metal braces. The method requires nearly 6 to 8 months for straightening your crooked teeth thus, giving you an attractive smile.

  • Transparent orthodontics:

    six month smiles braces mostly use clear brackets to straighten uneven and crooked teeth. These braces are transparent and almost invisible to people until they see you from closely. These ensure freedom from metal wires that might cause embarrassment in social gatherings or public places.

  • Comfortable treatment:

    The procedure shifts your crooked teeth to align them properly. It uses light force to make it more comfortable and less painful than other orthodontic treatments. Due to the use of light force over the teeth, there is less chance of damage to the gum tissues and roots.

  • Affordable orthodontic method:

    This procedure is affordable when compared to other orthodontic methods due to the short time needed for getting straighter and aligned teeth.

How long will straight teeth treatment need?

The treatment time for the complete course is six months, on an average. However, it might require 4 months for some patients and 9 months for others to complete the procedure. This will actually depend on several factors such as present alignment of your teeth and your personal desired objectives. However, it is 6 months, on an average.

Who is the right candidate for the six month smiles braces?

Six month smiles braces can be used to address different problems such as:

  • Gapped Teeth – If there are noticeable spaces in-between your teeth.
  • Crowded Teeth – If the teeth overlap or have grown very close to each other.
  • Underbites – If the lower jaw and the teeth stick out more than the upper jaw.
  • Overbites – If the upper jaw and teeth stick out more than the lower jaw.
  • Crossbites – If your teeth fall on the wrong side at the time of biting.
  • Openbites – If your teeth fail to meet or touch during biting.
  • Overjets – If your front teeth on the upper set protrude outwards.

It is advised to book an initial consultation with the dentist to evaluate if six month smiles braces treatment is suitable for you. Contact Museum Dental Suites to fix a meeting and discuss in detail your possible options.

QUICK CONTACT

Contact Us

offer_banner
Opeing Hours
Monday 9 AM - 6 PM
Tuesday 9 AM - 6 PM
Wednesday 9 AM - 6 PM
Thursday 8.30 AM - 7 PM
Friday 9 AM - 5 PM
Saturday 10 AM - 2 PM
Sunday Closed