Call Now Book Now
Online Booking

Autumn special offer CHECK - UPS With Our Associate dentist, Down from £98 to £55. Small X-rays are included if needed.

Fixing a Dark Front Tooth After Trauma with Root Canal, Internal Whitening Invisalign® and Composite Veneer in Holborn
16 Dec 2025

Fixing a Dark Front Tooth After Trauma with Root Canal, Internal Whitening Invisalign® and Composite Veneer in Holborn

A dark front tooth from childhood trauma can often be blended beautifully into the smile with a combination of internal and external whitening, Invisalign and highly detailed composite work. This case at Museum Dental Suites in Holborn, Central London, shows how carefully staged treatment can remove the colour discrepancy and refine the final aesthetics in a conservative, long-term way.

Invisalign Before Invisalign After

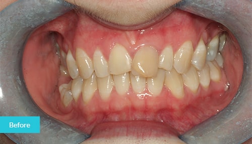
The patient’s starting point

The patient presented with a single dark upper front tooth following a past accident, along with mild crowding and an uneven smile line visible in both the close-up and full-smile photographs. The discoloured tooth drew the eye and made the patient feel self-conscious, even though the surrounding teeth were generally healthy and intact. The aim was to create a balanced, confident smile while preserving as much natural tooth structure as possible.

Stage 1:

Root canal treatment for the traumatised tooth

Because the tooth had darkened after trauma, the first step was precise root canal treatment to remove non-vital tissue and stabilise the tooth from within. This protects against future infection, relieves the risk of symptoms and provides a sound base for further whitening and restoration. Treating the cause of the discolouration first is essential if the result is to be predictable and long lasting.

Stage 2:

Combined internal and external whitening

Once the tooth had settled, the colour was addressed using a combination of general whitening for the full smile and targeted internal whitening of the dark tooth. By lightening the tooth both from the outside and inside, the previous colour discrepancy was effectively removed and the front teeth were brought into a much closer shade match. This careful whitening stage meant that only minimal restorative material was required later, helping to keep the treatment as conservative as possible.

Stage 3:

Invisalign to align teeth and bite

With the colour improved, Invisalign clear aligners were used to straighten the teeth and refine the bite. The aligners gently corrected crowding, closed small spaces and smoothed the smile line, creating a more even appearance in both the close-up and full-face photographs. Aligning the teeth also improves the way the bite meets, which helps protect both the natural enamel and any restorative work for the future.

Stage 4:

Composite veneer for final refinements

To complete the transformation, a bespoke composite veneer was placed on the previously dark front tooth. Because the shade difference had already been reduced with internal and external whitening, the composite veneer was used mainly for fine adjustments to colour, shape and surface texture. Layering high-quality composite allowed the team to copy the translucency and natural characteristics of the neighbouring teeth so that the treated tooth blends seamlessly within the smile.

Invisalign Before Invisalign After

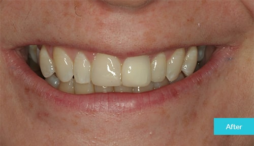
A stable, natural-looking result

The after images show a beautiful, even smile where the once-dark tooth now matches the surrounding teeth and the alignment is significantly improved. By planning each stage in sequence – root canal treatment, combined whitening, Invisalign and then refined composite – the final result is designed for stability, comfort and natural aesthetics over many years, provided the patient maintains regular check-ups, hygiene visits and appropriate retainers.

Thinking about similar treatment in Central London?

If you have a single dark or grey front tooth after trauma, or you are unhappy with both the shade and alignment of your teeth, a similar staged approach may be possible for you. At Museum Dental Suites in Holborn, near Tottenham Court Road, Camden, Covent Garden, WC1 and Bloomsbury, the team plans cases together to provide comprehensive care that focuses on preservation of tooth tissue, healthy function and high-quality cosmetic outcomes.

Patients visit from across Central London, the wider UK and abroad for complex cases such as dark front teeth, crowding and worn or failing restorations. To find out whether this type of treatment could work for you, contact Museum Dental Suites to arrange a thorough consultation and begin planning your own tailored smile improvement